EB病毒阳性淋巴组织增殖性疾病13例临床与病理特征
2018年10月
中华儿科杂志,第56卷第10期 第759页-第764页
陈天明,邓志娟,胡冰,胡惠丽,陈荷英,李绍英,刘钢
EB病毒是一种在全球范围内引起广泛感染的疱疹类病毒。人体初次感染EB病毒多发生于儿童,典型表现为传染性单核细胞增多症(infectious mononucleosis, IM)。EB病毒感染免疫功能完全正常者的B淋巴细胞表现为IM,IM为自限性,预后良好。在免疫功能缺陷或一些无已知免疫功能缺陷的人中,感染EB病毒后表现为慢性活动性EB病毒感染(chronic active Epstein-Barr virus infection, CAEBV),组织病理学可表现为EB病毒阳性淋巴组织增殖性疾病(EBV+LPD)。现对北京儿童医院感染内科2011至2016年收治的经病理确诊的儿童EBV+LPD进行临床总结分析。
对北京儿童医院感染内科2011年1月至2016年12月收治13例通过组织病理学确诊EBV+LPD进行回顾性分析,13例EBV+LPD均根据世界卫生组织(WHO)(2008)造血及淋巴组织肿瘤分类中的病理学诊断标准作出诊断[1]。纳入研究的病例均行HPLH1、PRF1、UNC13D、STX11、STXBP2基因检测排除了家族性噬血细胞性淋巴组织细胞增生症,行SH2D1A、BIRC4基因检测排除了X连锁淋巴增殖性疾病1型和2型,行RAB27A、LYST、AP3B1基因检测分别排除了Criscelli综合征2型、Chediak-Higashi综合征、Hermansky-Pudlak综合征Ⅱ型等原发免疫缺陷病。GAEBV的诊断标准是:(1)持续或间断症状,包括发热、淋巴结肿大、肝脾肿大等;(2)异常的EB病毒抗体滴度,抗VCA和抗EA的抗体滴度升高和(或)受累组织和外周血中检测到EB病毒基因组的升高;(3)慢性疾病无法用其他疾病解释的。
本研究通过首都医科大学附属北京儿童医院医学伦理委员会伦理审查(IEC-C-008-A08-V.05.1)。
通过回顾患儿的病历资料,收集患儿的年龄、性别、病程、起病情况、症状、体征、疾病受累器官、治疗、随访结果等临床资料。同时搜集实验室检查结果,包括血常规、血清EB病毒抗体(VCA-IgG、VCA-IgM、EA-IgM、NA-IgG)、全血及血清EB病毒- DNA、病理结果、淋巴细胞亚群(CD3阳性细胞、CD4阳性细胞、CD8阳性细胞、CD4/CD8比值,B细胞、NK细胞)等。对13例患儿进行随访,其中5例为电话随访(包括死亡的4例),另外8例为门诊随访。
淋巴细胞亚群检查结果为非正态分布的计量资料,用中位数(范围)描述。
13例EBV+LPD患儿中男5例、女8例。中位年龄6.0岁(范围1.3~15.0岁),其中<3岁3例,3~5岁3例,6~11岁3例,12~14岁4例。确诊时5例病程小于3个月,其中最短1个月,最长24个月,中位病程3个月。5例以典型的IM症状起病,2例以单纯发热起病,2例以发热皮肤溃疡起病,另外4例的起病方式分别是发热伴腹部包块、发热伴抽搐、发热伴腹痛腹泻、发热伴皮肤出血点。13例均有发热,9例有肝、脾、淋巴结肿大,4例有淋巴结肿大而无肝、脾肿大;外周血2例出现三系降低,5例白细胞降低;7例肺受累,其中5例EB病毒阳性T细胞淋巴组织增殖性疾病(EBV+T-LPD)患儿表现为双侧肺间质受累,2例EB病毒阳性弥漫性大B细胞淋巴瘤(EBV+DLBCL)患儿表现为肺内结节状及团块状改变;3例中枢神经系统受累,表现有发热、头痛,其中1例出现抽搐,脑脊液检查均为无菌性脑膜炎表现,行头颅磁共振成像(MRI)检查无异常;3例心脏受累表现为冠状动脉增宽;3例肠道受累,表现为腹痛、腹胀、腹泻,其中1例出现肠穿孔;2例皮肤受累,表现为丘疹水疱样皮疹,合并溃疡,有痘疮样瘢痕形成,后期出现肝、脾、淋巴结肿大等全身症状;腹部包块1例,腹部MRI显示胰腺前下方肠系膜处不规则团块状异常信号影,范围为9.3 cm×8.2 cm×3.2 cm,包绕肠系膜上动静脉及其分支;2例出现噬血细胞综合征。13例患儿中,仅有1例家族史有一同胞哥哥在5月龄因巨细胞病毒肺炎死亡,其余12例均无明确或可疑的免疫缺陷家族史。
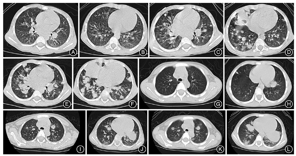
2例患儿诊断为EBV+DLBCL。例12为1岁10月龄幼儿表现为发热、颈部及腹股沟淋巴结进行性肿大,肺内病变由病初的多发点絮影及网格影进展为多发结节及实变(


13例均行全血EB病毒-DNA检查,拷贝数1×108~1×1011/L,其中4例1×108/L,4例1×109/L,4例1×1010/L,1例1×1011/L;其中9例行血清EBV-DNA检查,均为阳性,3例1×106/L,6例1×107/L。13例均做血清EB病毒抗体VCA-IgG、VCA-IgM、EA-IgM、NA-IgG检查,其中9例进一步行EB病毒抗体滴度检查,结果见

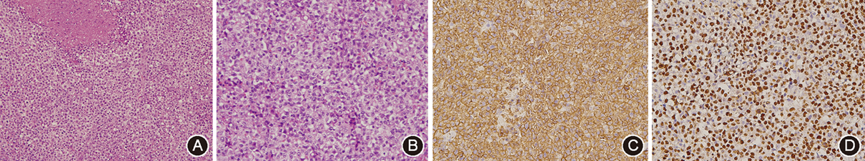
13例患儿均通过组织病理学确诊,均符合WHO(2008)造血及淋巴组织肿瘤分类中的病理学诊断标准。其中6例为淋巴结病理,2例为皮肤病理,肺、回肠黏膜、肝脏、腹腔肿物、骨髓组织病理各1例。9例病理结果为系统性EBV+T-LPD,免疫组织化学均表达T细胞抗原CD2、CD3,部分病例表达CD4,另一部分表达CD8,CD56均为阴性;2例为种痘样水疱病(HV),免疫组织化学均表达T细胞抗原CD2、CD3及细胞毒性T细胞标记CD8、TIA-1,其中一例部分表达CD56;2例为EBV+DLBCL,免疫组织化学均表达B细胞抗原CD20、CD79a,MUN-1均为阳性,但CD10为阴性,其中1例肿瘤细胞还表达CD30。所有13例患儿EB病毒编码RNA原位杂交(EBER)均为阳性。
12例患儿给予更昔洛韦,1例给予阿昔洛韦治疗,9例予丙种球蛋白,1例行噬血细胞综合征2004方案化疗。对13例进行随访(出院后2 d~65个月),9例系统性EBV+T-LPD中,1例出院后5 d死亡;1例进展为T细胞淋巴瘤,于出院后65个月死亡;3例随访时间分别为出院后10、11、22个月,随访时体温正常,症状体征有好转;2例行造血干细胞移植痊愈,分别随访至移植后8、10个月,病情无复发;1例行噬血细胞综合征2004方案化疗后痊愈,随访至出院后63个月无复发;1例随访至出院4个月仍有间断发热,肝脾肿大。2例HV患儿中1例发展为HV样淋巴瘤,于出院后14个月死亡,另外1例随访至出院17个月仍有发热、皮损、肝脾肿大;2例EBV+ DLBCL,1例出院后2 d死亡,另外1例随访至出院3个月,化疗后病情尚稳定。
目前研究发现CAEBV发病机制的核心本质是EB病毒感染不同类型的细胞(T细胞、NK细胞或B细胞)引起克隆扩增。在亚洲人种和印第安人种,CAEBV主要为T细胞和(或)NK细胞类型。T细胞类型CAEBV,组织病理学上表现为EBV+T-LPD,2016年WHO造血与淋巴组织肿瘤分类将有T细胞单克隆增值的EBV+T-LPD命名为"儿童EB病毒阳性T细胞淋巴瘤",归为成熟T细胞肿瘤,以区别于CAEBV中淋巴组织非肿瘤性增殖[2];而HV、HV样淋巴瘤亦属于EBV+T-LPD疾病谱,是T细胞类型CAEBV相对进展缓慢的类型;NK细胞类型CAEBV特征表现为严重蚊虫叮咬过敏。B细胞类型CAEBV相对常见于西方人,但总体上罕见;而淋巴瘤样肉芽肿病、EBV+ DLBCL属于是EB病毒阳性B细胞淋巴组织增殖性疾病,无显著种族性及地域性发病特征。实际上EBV+LPD疾病谱中,当病变细胞出现单克隆增殖时,属于肿瘤的范畴,因此EBV+LPD疾病谱中一部分疾病直接以肿瘤命名,包括EBV+T-LPD、HV样淋巴瘤、EBV+DLBCL等[3]。
本组病例有9例为系统性EBV+T-LPD,2例为HV,符合亚洲人CAEBV的感染细胞类型多为T细胞和(或)NK细胞的特点。在较早的CAEBV的诊断标准中,需符合病史大于6个月[4,5],随着发病机制和病理学的研究进展,2005年日本推荐的CAEBV指南不再强调病程,指出只要符合持续或反复出现的EBV感染相关症状即可[6],以上11例均符合新的CAEBV诊断标准。本组病例中有8例确诊时时病程小于6个月,其中5例小于3个月,最短为1个月,这说明相当一部分病例在出现症状后较短时间内发展为EBV+LPD。
本组9例诊断为儿童系统性EBV+T-LPD,实际上属于T细胞类型的CAEBV,最常见的表现为发热、淋巴结及肝、脾肿大等症状,与国内外文献报道相似,可同时累及肺、中枢神经系统、心脏、肠道等各脏器,亦可出现噬血细胞综合征[7,8]。有3例伴有无菌性脑膜炎,均无脑实质受累表现,但有文献报道可以出现脑实质广泛受累[9];3例心脏受累表现为冠状动脉增宽,这在既往文献中也有广泛报道,这些病例表现为发热、颈部淋巴结肿大,伴冠状动脉增宽甚至冠脉瘤,部分病例甚至伴有皮疹,常误诊为不完全川崎病,在临床中应注意鉴别。
另外2例为HV,均以发热伴皮肤溃疡为首发症状,后期出现肝、脾、淋巴结肿大,全血细胞下降等表现,其中1例进展为HV淋巴瘤死亡,与文献报道一致[3]。HV由于以皮损为主要表现,常在皮肤科首诊,疾病初期可能全身症状不明显,因此容易延误诊断,故引起临床医生的重视,在早期根据皮损特点行皮肤活检[10]。
值得注意的是本组病例中2例诊断为EBV+ DLBCL。EBV+ DLBCL常发生在老人年,与老年人的免疫功能减退相关,因此2008年WHO分型命名为老年人EBV+ DLBCL。后来报道EBV+DLBCL亦可以发生在青年人[11],故2016年WHO淋巴瘤分类已不强调年龄[2]。虽然该病为淋巴瘤,但由于发生发展与EBV感染密切相关,实际上,它是EB病毒阳性B细胞淋巴组织增殖性疾病的特定阶段,2008年EB病毒淋巴增殖性疾病国际分类会议将它归类为EBV+LPD的B细胞类型。本组2例患儿年龄分别为1岁10月龄和5岁1月龄,有关幼儿的EBV+DLBCL报道罕见报道。既往报道的青年人EBV+DLBCL均表现为淋巴结受累,包括颈部、纵膈、腹膜后、腹股沟等部位淋巴结受累,无淋巴节外器官受累[12,13,14,15]。不同于青年人的临床特征,本组2例患儿均以IM起病,疾病进展快,受累部位除淋巴结外,淋巴结节外受累显著,包括肺部、肠道等,尤其是肺部特征性病变为结节性病变,进行性增多、增大,均在病程3个月经病理活检确诊。老年人EBV+DLBCL亦经常累及淋巴结和结外器官,包括皮肤、扁桃体、肺、胃肠道等[16,17,18],与这2例患儿的临床表现相似。例12家族史有一同胞哥哥在5月龄因巨细胞病毒肺炎死亡,提示此类患者可能存在潜在未知的免疫缺陷,2例患儿还有以下共同特点:全血及血清的EB病毒-DNA持续增高,肺泡灌洗液EB病毒-DNA阳性,提示该病的发生发展与EB病毒感染密切相关。
组织病理检查EBER原位杂交阳性是诊断EBV+LPD的必要条件,直接从组织学上提示淋巴组织增殖与EB病毒感染相关,本组13例的组织病理均提示不同程度的EBER阳性。由于组织病理检查创伤较大,临床工作中常先根据临床症状及外周血的EB病毒-DNA载量来初步评估是否为EBV+LPD。由于健康儿童首次感染EB病毒后,EB病毒可长期潜伏于B淋巴细胞中,故在无症状潜伏患儿全血EB病毒-DNA可呈现阳性,拷贝数较低,2005年日本CAEBV指南建议外周血单个核细胞中EB病毒-DNA>1×102.5拷贝/μg DNA[6]。本组13例均进行了全血EB病毒-DNA的检测,全部病例拷贝数均大于1×108/L,提示EBV+LPD的患儿全血EB病毒-DNA拷贝数显著增高,不同于长期处于潜伏感染状态下的全血EB病毒-DNA低拷贝数水平。13例中9例进行了血清EB病毒-DNA检测,拷贝数为1×106~1×108/L,由于血清EB病毒-DNA排除了全血中的细胞成分(包括淋巴细胞),较全血EB病毒-DNA更能体现EB病毒的活动性复制情况[19]。因此,全血EB病毒-DNA的高水平拷贝数或血清EB病毒-DNA阳性,提示可能存在活动性EB病毒感染,在EBV+LPD诊断中具有重要的意义。早期的CAEBV诊断标准中,VCA-IgG滴度≥1:5 120[4,5],2005年日本推荐的CAEBV的指南将标准放宽建议VCA-IgG滴度≥1:640,本组有3例VCA-IgG滴度<1:640,Cohen等[20]报道亦有类似的情况,提示部分EBV+LPD中VCA-IgG并不是高滴度阳性。
EBV+LPD治疗方法有限,效果欠佳,预后差,本组4例最终死亡。应用抗病毒及免疫调节治疗并不能改变远期结局。由于EBV+LPD的发生与机体免疫状态相关,推测这些患儿可能存在潜在未知的免疫缺陷,免疫缺陷的程度决定患儿的长期结局,当病情进展,病变细胞出现单克隆增殖时,属于肿瘤的范畴[7,15]。区别于WHO(2008)造血与淋巴组织肿瘤分类,2016年WHO已经将一部分EBV+LPD名称改为淋巴瘤,以突显其肿瘤性质,故此类疾病的治疗更倾向于应用淋巴瘤的化疗方案,部分患儿化疗后短期内能有所缓解,但远期预后差[20]。造血干细胞移植是治疗EBV+LPD的有效方法,Cohen等[20]对8例患者施行骨髓移植,3例死亡,其中2例死于淋巴瘤,另外5例随访2~11年病情完全缓解,EB病毒检测阴性。本组患儿2例行骨髓移植痊愈,提示骨髓移植是治疗本病的有效方法。
综上所述,儿童EBV+LPD病史长短不一,短至1个月,长至数年,临床表现多样,本病患者持续存在全血EB病毒-DNA载量显著增高、血清EB病毒-DNA阳性。对于疑似本病患者,需结合临床体征及胸腹影像学检查寻找增殖病灶,尽早行组织活检明确诊断;本病治疗困难,预后差,部分病例进展为淋巴瘤,需要进一步的大样本随访来评估本病的远期结局,骨髓移植是治愈本病的有效方法。
[1] Swerdlow SH, Campo E, Harris NL, et al. WHO classification of tumours of haematopoietic and lymphoid tissues [M]. Lyon: IARC Press,2008.
[2] Swerdlow SH, Campo E, Pileri SA, et al. The 2016 revision of the World Health Organization classification of lymphoid neoplasms[J]. Blood, 2016,127(20):2375-2390.
[3] Cohen JI, Kimura H, Nakamura S, et al. Epstein-Barr virus-associated lymphoproliferative disease in non-immunocompromised hosts: a status report and summary of an international meeting, 8-9 September 2008[J]. Ann Oncol, 2009,20(9):1472-1482.
[4] Straus SE. The chronic mononucleosis syndrome[J]. J Infect Dis, 1988,157(3):405-412.
[5] Kimura H, Hoshino Y, Kanegane H, et al. Clinical and virologic characteristics of chronic active Epstein-Barr virus infection[J]. Blood, 2001,98(2):280-286.
[6] Okano M, Kawa K, Kimura H, et al. Proposed guidelines for diagnosing chronic active Epstein-Barr virus infection[J]. Am J Hematol, 2005,80(1):64-69.
[7] 金妍,周小鸽,何乐健,等.儿童系统性EB病毒阳性T细胞淋巴组织增殖性疾病的临床病理观察[J].中华病理学杂志, 2009,38(9):600-608.
[8] Paik JH, Choe JY, Kim H, et al. Clinicopathological categorization of Epstein-Barr virus-positive T/NK-cell lymphoproliferative disease: an analysis of 42 cases with an emphasis on prognostic implications[J]. Leuk Lymphoma, 2017,58(1):53-63.
[9] 王玥,薛露,马翠,等.慢性活动性EB病毒感染并发中枢神经系统EB病毒相关的T淋巴细胞增生性疾病一例[J],中华儿科杂志,2011,49(10):797-800.
[10] Li J, Zan Y, Liu H, et al. Hydroa vacciniforme-like cutaneous T-cell lymphoma in a child: a case report[J]. Medicine (Baltimore), 2018,97(15):e0319.
[11] Nicolae A, Pittaluga S, Abdullah S, et al. EBV-positive large B-cell lymphomas in young patients: a nodal lymphoma with evidence for a tolerogenic immune environment[J]. Blood, 2015,126(7):863-872.
[12] Hong JY, Yoon DH, Suh C, et al. EBV-positive diffuse large B-cell lymphoma in young adults: is this a distinct disease entity?[J]. Ann Oncol, 2015,26(3):548-555.
[13] Beltran BE, Morales D, Qui?ones P, et al. EBV-positive diffuse large b-cell lymphoma in young immunocompetent individuals[J]. Clin Lymphoma Myeloma Leuk, 2011,11(6):512-516.
[14] Ao Q, Wang Y, Xu S, et al. A case of EBV positive diffuse large B-cell lymphoma of the adolescent[J]. Int J Clin Exp Med, 2014,7(1):307-311.
[15] 李文生,谢建兰,张明,等,年青人EB病毒阳性弥漫性大B细胞淋巴瘤一例[J],中华病理学杂志, 2013,42(2):128-129.
[16] Castillo JJ, Beltran BE, Miranda RN, et al. EBV-positive diffuse large B-cell lymphoma of the elderly: 2016 update on diagnosis, risk-stratification, and management[J]. Am J Hematol, 2016,91(5):529-537.
[17] Ok CY, Papathomas TG, Medeiros LJ, et al. EBV-positive diffuse large B-cell lymphoma of the elderly[J]. Blood, 2013,122(3):328-340.
[18] Adam P, Bonzheim I, Fend F, et al. Epstein-Barr virus-positive diffuse large B-cell lymphomas of the elderly[J]. Adv Anat Pathol, 2011,18(5):349-355.
[19] Kimura H, Morita M, Yabuta Y, et al. Quantitative analysis of Epstein-Barr virus load by using a real-time PCR assay[J]. J Clin Microbiol, 1999,37(1):132-136.
[20] Cohen JI, Jaffe ES, Dale JK, et al. Characterization and treatment of chronic active Epstein-Barr virus disease: a 28-year experience in the United States[J]. Blood, 2011,117(22):5835-5849.
收藏此内容
推荐给朋友